50%
Membro Amor ganha jornal mensal + aula semanal + grupo fechado. Tudo o que gastar vira Téritos que valem suprimentos em tempos de crise.
Desligado

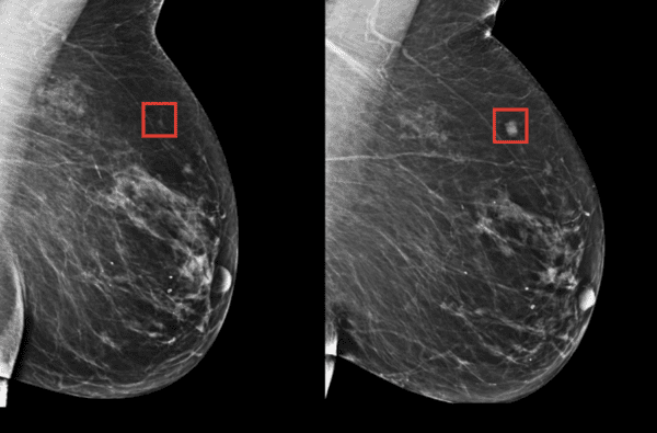
Uma nova inteligência artificial pode detectar o câncer de mama 5 anos antes de ele se desenvolver - Escola de Lucifer
Abril 15, 2026
Subscribe
Notify of
guest

3 Comments
Oldest
Newest Most Voted
Inline Feedbacks
View all comments
LuanaAK13

Luz p’ra nós!

Silvana

Que bom que se pode usar ferramentas de IA para detectar anormalidades com eficiência ajudando na prevenção de câncer de mama, assim facilita a tratamentos antecipados. LPN

Elisângela Brown

Gratidão pela matéria! Luz p’ra nós!

error

Gostou do site? Espalhe a Verdade!

3
0
Would love your thoughts, please comment.x